Cavity treatment
What is cavity treatment?
Cavity treatment is the process of restoring decayed teeth. Cavities are damage to teeth, often caused by sugary foods and poor oral hygiene. Treatment can relieve pain and restore tooth function.
The importance of treating cavities
Reduce pain
As cavities progress, the pain may become worse. This can be prevented with timely treatment.
Prevent tooth loss
If cavities become severe, you may lose your teeth. Save your teeth with early treatment.
Improves overall oral health
Treating cavities is an important step in maintaining oral health
Cavity treatment process
Precautions after treatment
Eating soft foods
It is recommended to eat soft foods immediately after treatment.
Maintain oral hygiene
Proper brushing and flossing are important in preventing cavities.
Regular checkups
Maintain your dental health with regular dental checkups.
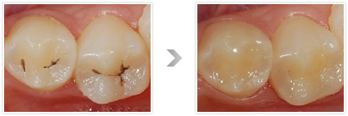
Before and after comparison of cavity treatment
“At Plant Dental Clinic, we provide effective and comfortable cavity treatment services using the latest equipment and skilled experts. Make an appointment now for healthy teeth and a beautiful smile!
Do you need a cavity treatment consultation/reservation?

Call Center
031-404-0114
010-8114-2875

Kakao talk

Search for Plant Dental Clinic
in the Kakaotalk ID search.

Clinic hours
Weekday treatment
Lunch time (weekdays)
Saturday
※Closed on Sundays
/ public holidays
10:00~18:10
12:45~14:00
10:00~14:00
Plant Dental Clinic SNS
2nd floor, Jusin Building, 3370 Suin-ro, Siheung-si, Gyeonggi-do
(in front of Sammi Market or 2nd floor of Daiso)
Plant Dental Clinic Representative Director : Yohan Kim | Address: 2nd floor, Jusin Building, 3370 Suin-ro, Siheung-si, Gyeonggi-do | Company Registration Number : 140-90-50003
Tel : 031-404-0114 | E-mail : plantdent@naver.com
Copyright 2024 Plant Dental Clinic All Rights Reserved.